Referenssit

Tältä sivulta löydät ennen ja jälkeen -kuvia eSmilen Hannu Vesasen toteuttamista keraamisista hammaslaminaateista.

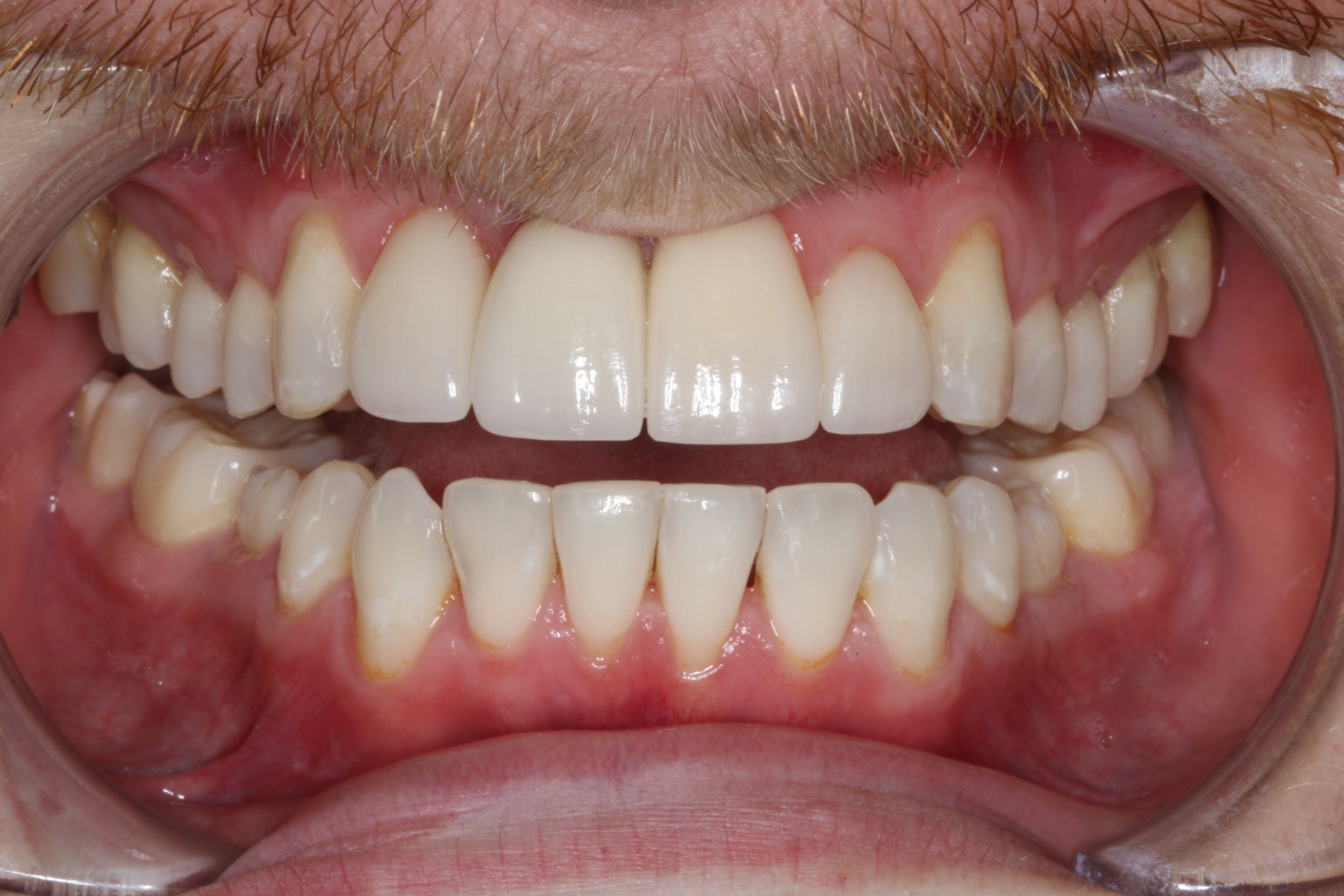
Referenssi 1

Asiakas koki ongelmaksi vanhat ja huonokuntoiset muovitäytteet etualueella. Lisäksi hampaiden välissä oli häiritseviä rakoja.

Hoitona päädyttiin tekemään 10 kpl posliinilaminaatteja. Asiakkaan hampaat olivat luonnostaan kauniissa järjestyksessä, joten siirryttiin suoraan laminaattien valmistukseen.

Hampaita jouduttiin tässä tapauksessa hiomaan hyvin minimaalisesti. Ennen laminaattien valmistamista tehtiin hammaskiven poisto, soodapuhdistus ja kombinaatiovalkaisu.

Referenssi 2

Asiakkaalle oli tehty muutamia vuosia aikaisemmin Invisalign-oikomishoito. Asiakas kuitenkin halusi lisää volyymiä hampaistoonsa ja korjata purennan aiheuttamat lohkeamat etualueella.

Koska hampaat olivat täysin suorat oikomishoidon jäljiltä, aloitettiin 10 hampaan laminaattityö. Ennen minimaalisia preparointeja hampaat puhdistettiin ja valkaisulla pyrittiin saamaan mahdollisimman hyvä lopputulos.

Referenssi 3

Hoidon toteutus tapahtui Invisalign-oikomishoidon sekä korjaavan hoidon avulla. Oikomalla saatettiin keskimmäiset hampaat tiiviisti yhteen. Kuvassa vasemman puolen pienempi etuhammas oiottiin niin, että sen ympärille jätettiin suurempi tila, jonka avulla saatiin posliinilaminaatilla tehtyä suurempi hammas.

Kuvassa oikealla puolella asiakkaan kulmahammas “maskeerattiin” kerrostusmuovilla kakkoshampaan näköiseksi ja kuvassa kolmas hammas keskeltä tehtiin implanttikruununa. Eli alueella on omia hampaita, kerrostusmuovilla ehostettuja hampaita sekä posliinista valmistettuja hampaita.

Referenssi 4

Asiakkaalla oli limittäisyyttä hampaistossa sekä etualueen ristipurenta. Hoito aloitettiin Invisaling-oikomishoidolla rakentaen kaunis ja tasainen rivistö ja purennan tasapainotus.

Oikomishoidon jälkeen aloitimme korjaavan hoidon, jolla haluttiin korjata lohjenneita hampaiden kärkiä. Ylähampaisiin tehtiin 9 kpl posliinilaminaatteja ja lisäksi yksi puuttuva hammas korvattiin implantilla ja keltakultakruunulla. Ennen korjaavaa hoitoa hampaisto puhdistettiin ja valkaistiin kombinaatiovalkaisulla.

Referenssi 5

Nuorella asiakkaalla oli ongelmana hammaskaaren aukkoisuus. Päädyimme valmistamaan suoraan 4 kappaletta posliinilaminaatteja ja asiakkaan kulmahampaita ”pullistettiin” kerrostusmuoveilla.

Aukkoja suljettaessa täytyy aina huomioida, ettei korjattavista hampaista tule liian leveitä, siksi tässäkin tapauksessa kulmahampaita pullistettiin ja rakoa saatiin pienemmäksi. Muussa tapauksessa kakkoshampaiden posliinilaminaateista olisi tullut liian leveät. Ennen korjaavaa hoitoa hampaisto puhdistettiin ja valkaistiin kombinaatiovalkaisulla.

Referenssi 6

Asiakkaalla oli erittäin voimakkaasti kuluneet hampaat ja ongelmana oli myös rakojen aukeaminen hammasväleissä. Ensin hampaisto puhdistettiin ja pyrittiin valkaisemaan mahdollisimman hyvin ja hoito viimeisteltiin 10 posliinilaminaatilla ja osakruunuilla.

Referenssi 7

Asiakas oli menettänyt tapaturmaisesti yhden keskimmäisen etuhampaan. Lapsena hampaat oli oiottu niin, että rakoa ei olisi. Tämä oli vääristänyt täysin hammaskaaren muodon.

Aloitettiin Invisalign-oikomishoito tavoitteena rakentaa tilaa tulevaa etualueen implanttia varten. Suunnittelu tehtiin yhteistyössä eSmilen suu-ja leukakirurgi, EHL Jarno Savolaisen kanssa.

Oikomishoidon loppuvaiheessa implantti asennettiin kuvassa vasemman puolen puuttuvalle alueelle. Koska alue ollut hampaattoman useita vuosia, joudutaan käyttämään paljon keinoluuta ja sidekudosta, jolla rakennetaan esteettisesti kaunis ympäristö tulevalle implanttikruunulle.

Hoidon lopuksi tehdään kombinaatiovalkaisu ja 4 kappaletta posliinihampaita, joista yksi on implanttikruunu ja kolme posliinilaminaatteja.

Varaa aika konsultaatioon, niin kerromme mikä olisi juuri sinun tilanteeseesi paras mahdollinen hoitokokonaisuus.

Varaa aika konsultaatioon